Advertisement
১৩ জানুয়ারি ২০২৬
International news

বিশ্বের একমাত্র পরিবার যেখানে মানুষ আজও চারপেয়ে!

দূর থেকে দেখে মনে হবে ঠিক যেন চারপেয়ে কোনও পশু ধীর গতিতে হেঁটে চলেছে।

নিজস্ব প্রতিবেদন
শেষ আপডেট: ২৯ অগস্ট ২০১৯ ১০:৩৫
Share: Save:
০১ ১৫
অন্যদের থেকে সম্পূর্ণ আলাদা। সামনের দিকে ঝুঁকে মুখটা উপরের দিকে তুলে দু’হাত আর দু’পায়ের সাহায্যে এগিয়ে চলে এরা। দূর থেকে দেখে মনে হবে ঠিক যেন চারপেয়ে কোনও পশু ধীর গতিতে হেঁটে চলেছে।

অন্যদের থেকে সম্পূর্ণ আলাদা। সামনের দিকে ঝুঁকে মুখটা উপরের দিকে তুলে দু’হাত আর দু’পায়ের সাহায্যে এগিয়ে চলে এরা। দূর থেকে দেখে মনে হবে ঠিক যেন চারপেয়ে কোনও পশু ধীর গতিতে হেঁটে চলেছে।

০২ ১৫
নিজেদের এলাকা বাদে ২০০৫ সালের আগে পর্যন্ত সারা বিশ্বের কাছে আক্ষরিক অর্থেই এঁদের সে ভাবে কোনও অস্তিত্ব ছিল না। ২০০৫ সালে বিবিসি-র একটি তথ্যচিত্রে প্রথম এঁদের কথা সারা বিশ্বের কাছে পৌঁছয়। সাধারণ মানুষ তো বটেই, এমন দৃশ্যে বিজ্ঞানীরাও বিস্মিত হয়ে যান।

নিজেদের এলাকা বাদে ২০০৫ সালের আগে পর্যন্ত সারা বিশ্বের কাছে আক্ষরিক অর্থেই এঁদের সে ভাবে কোনও অস্তিত্ব ছিল না। ২০০৫ সালে বিবিসি-র একটি তথ্যচিত্রে প্রথম এঁদের কথা সারা বিশ্বের কাছে পৌঁছয়। সাধারণ মানুষ তো বটেই, এমন দৃশ্যে বিজ্ঞানীরাও বিস্মিত হয়ে যান।

০৩ ১৫
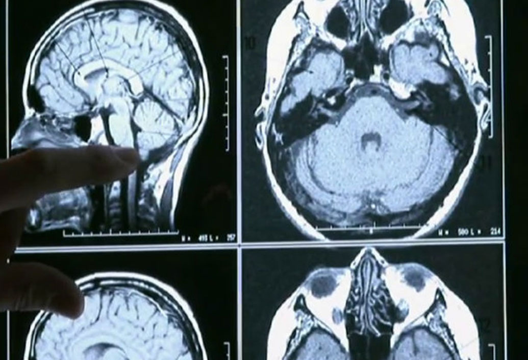
চারপেয়ে মানুষ! তারপর থেকে মাঝেমধ্যেই বিজ্ঞানীদের দল ঘুরে গিয়েছে তুর্কির ওই গ্রামে। রক্তের নমুনা, মস্তিষ্কের স্ক্যান, বাদ যায়নি কোনও পরীক্ষাই। কিন্তু ২০১৪ পর্যন্ত এমন ব্যবহারের সঠিক কোনও কারণ কেউ খুঁজে পাননি।

চারপেয়ে মানুষ! তারপর থেকে মাঝেমধ্যেই বিজ্ঞানীদের দল ঘুরে গিয়েছে তুর্কির ওই গ্রামে। রক্তের নমুনা, মস্তিষ্কের স্ক্যান, বাদ যায়নি কোনও পরীক্ষাই। কিন্তু ২০১৪ পর্যন্ত এমন ব্যবহারের সঠিক কোনও কারণ কেউ খুঁজে পাননি।

০৪ ১৫
তুর্কির ওই পরিবারটির বাস তুরস্ক-সিরিয়া সীমানার কিছুটা উত্তরে। বাবা-মাকে নিয়ে পরিবারের মোট সদস্য সংখ্যা ২১ জন। এই ২১ জনের পরিবারে ৫ ভাইবোনের মধ্যে এই অদ্ভুত বৈশিষ্ট্য রয়েছে। ওই ৫ ভাইবোনের মধ্যে চার বোন ও এক ভাই। সাফিয়ে, হেসার, সেনেম, এমিন এবং ভাই হুসেইন।  বাকি ভাইবোনেরা চারপেয়ে না হলেও কেউই পুরোপুরি স্বাভাবিক নয়।

তুর্কির ওই পরিবারটির বাস তুরস্ক-সিরিয়া সীমানার কিছুটা উত্তরে। বাবা-মাকে নিয়ে পরিবারের মোট সদস্য সংখ্যা ২১ জন। এই ২১ জনের পরিবারে ৫ ভাইবোনের মধ্যে এই অদ্ভুত বৈশিষ্ট্য রয়েছে। ওই ৫ ভাইবোনের মধ্যে চার বোন ও এক ভাই। সাফিয়ে, হেসার, সেনেম, এমিন এবং ভাই হুসেইন। বাকি ভাইবোনেরা চারপেয়ে না হলেও কেউই পুরোপুরি স্বাভাবিক নয়।

০৫ ১৫
তবে তাঁদের বাবা-মা কিন্তু একেবারেই স্বাভাবিক। আর এই ৫ জন শুধু যে চারপেয়ে তাই নয়, এঁদের কোনও কিছু বুঝতে এবং কথা বলতেও সমস্যা হয়। এঁরা নিজেদের মধ্যে সম্পূর্ণ ভিন্ন ভাবে কথা বলেন।

তবে তাঁদের বাবা-মা কিন্তু একেবারেই স্বাভাবিক। আর এই ৫ জন শুধু যে চারপেয়ে তাই নয়, এঁদের কোনও কিছু বুঝতে এবং কথা বলতেও সমস্যা হয়। এঁরা নিজেদের মধ্যে সম্পূর্ণ ভিন্ন ভাবে কথা বলেন।

০৬ ১৫
প্রথম এই পরিবারের খোঁজ পেয়েছিলেন তুরস্কের বিজ্ঞানী উনের ট্যান। তাঁর এই খোঁজ তখনও কোনও জার্নালে প্রকাশিত হয়নি। অপ্রকাশিত এই রিসার্চ পেপার চোখে পড়ার পরই প্রাণীদের বিচিত্র আচরণ নিয়ে কাজ করা এক প্রাণীবিদ বিবিসি-র রিপোর্টার নিকোলাস হাম্পফ্রেকে ফোনে বিষয়টা জানান। বিবিসি তথ্যচিত্র প্রকাশ করলে বিশ্ব এই ঘটনার কথা জানতে পারে।

প্রথম এই পরিবারের খোঁজ পেয়েছিলেন তুরস্কের বিজ্ঞানী উনের ট্যান। তাঁর এই খোঁজ তখনও কোনও জার্নালে প্রকাশিত হয়নি। অপ্রকাশিত এই রিসার্চ পেপার চোখে পড়ার পরই প্রাণীদের বিচিত্র আচরণ নিয়ে কাজ করা এক প্রাণীবিদ বিবিসি-র রিপোর্টার নিকোলাস হাম্পফ্রেকে ফোনে বিষয়টা জানান। বিবিসি তথ্যচিত্র প্রকাশ করলে বিশ্ব এই ঘটনার কথা জানতে পারে।

০৭ ১৫
বিজ্ঞানী উনের ট্যান তাঁর অপ্রকাশিত রিসার্চ পেপারে লিখেছিলেন, এই ঘটনা আসলে বিপরীত বিবর্তনের ফল। অর্থাৎ বিবর্তন হয়ে ক্রমশ যেমন বানর থেকে মানুষের সৃষ্টি এবং ক্রমশ আদিম মানুষ পরিবর্তিত হয়েছে সভ্য মানুষে, এ ক্ষেত্রে হয়েছে ঠিক তার উল্টো।

বিজ্ঞানী উনের ট্যান তাঁর অপ্রকাশিত রিসার্চ পেপারে লিখেছিলেন, এই ঘটনা আসলে বিপরীত বিবর্তনের ফল। অর্থাৎ বিবর্তন হয়ে ক্রমশ যেমন বানর থেকে মানুষের সৃষ্টি এবং ক্রমশ আদিম মানুষ পরিবর্তিত হয়েছে সভ্য মানুষে, এ ক্ষেত্রে হয়েছে ঠিক তার উল্টো।

০৮ ১৫
বিজ্ঞানীর নাম অনুসারে একে ‘উনের ট্যান সিন্ড্রোম’ বলা হয়। তবে সত্যিই কি বিষয়টা তাই? উনের ট্যানের দাবি যদি সত্যি হয়ে থাকে, তা হলে যে কোনও সময়ে যে কোনও পরিবারে এমন ঘটনা কি ঘটতে পারে? সারা বিশ্বের বিজ্ঞানীদের ভাবিয়ে তোলে উনের ট্যানের গবেষণা।

বিজ্ঞানীর নাম অনুসারে একে ‘উনের ট্যান সিন্ড্রোম’ বলা হয়। তবে সত্যিই কি বিষয়টা তাই? উনের ট্যানের দাবি যদি সত্যি হয়ে থাকে, তা হলে যে কোনও সময়ে যে কোনও পরিবারে এমন ঘটনা কি ঘটতে পারে? সারা বিশ্বের বিজ্ঞানীদের ভাবিয়ে তোলে উনের ট্যানের গবেষণা।

০৯ ১৫
পরে জানা যায়, উনের ট্যানের এই তথ্য ভুল। ২০০৫ সাল থেকে ২০১৪— এই সময়কালের মধ্যে বহু গবেষণা হয়েছে ওই পরিবারের সদস্যদের নিয়ে। অবশেষে সেই গবেষণাতেই আসল কারণ ধরা পড়ে ২০১৪ সালে।

পরে জানা যায়, উনের ট্যানের এই তথ্য ভুল। ২০০৫ সাল থেকে ২০১৪— এই সময়কালের মধ্যে বহু গবেষণা হয়েছে ওই পরিবারের সদস্যদের নিয়ে। অবশেষে সেই গবেষণাতেই আসল কারণ ধরা পড়ে ২০১৪ সালে।

১০ ১৫
জানা যায়, বিপরীত বিবর্তন নয়, এটা আসলে জিন মিউটেশনের ফল। এটা অতি দুর্লভ একটা রোগ।

জানা যায়, বিপরীত বিবর্তন নয়, এটা আসলে জিন মিউটেশনের ফল। এটা অতি দুর্লভ একটা রোগ।

১১ ১৫
এই রোগে তাঁদের সেরিবেলার হাইপোপ্লাসিয়া অর্থাৎ দেহের ভারসাম্য নষ্ট হয়ে যায়। ফলে মানুষ সোজা হয়ে দাঁড়াতেই পারেন না। বায়োলজি জার্নাল প্লস-এ এই তথ্য প্রকাশিত হয়েছে।

এই রোগে তাঁদের সেরিবেলার হাইপোপ্লাসিয়া অর্থাৎ দেহের ভারসাম্য নষ্ট হয়ে যায়। ফলে মানুষ সোজা হয়ে দাঁড়াতেই পারেন না। বায়োলজি জার্নাল প্লস-এ এই তথ্য প্রকাশিত হয়েছে।

১২ ১৫
ওই জার্নালে প্রকাশিত তথ্য অনুসারে, তাঁরা চারপেয়ে হলেও হাঁটার ধরন কিন্তু একেবারেই পশুর মতো নয়। কারণ পশু যখন হাঁটে সামনের ডান ও পিছনের বাঁ পা এক সঙ্গে এবং সামনের বাঁ পায়ের সঙ্গে পিছনের ডান পা সামনে এগিয়ে নিয়ে চলে। এঁরা কিন্তু তা করেন না। বাঁ হাতের সঙ্গে বাঁ পা-ই এগিয়ে নিয়ে চলেন।

ওই জার্নালে প্রকাশিত তথ্য অনুসারে, তাঁরা চারপেয়ে হলেও হাঁটার ধরন কিন্তু একেবারেই পশুর মতো নয়। কারণ পশু যখন হাঁটে সামনের ডান ও পিছনের বাঁ পা এক সঙ্গে এবং সামনের বাঁ পায়ের সঙ্গে পিছনের ডান পা সামনে এগিয়ে নিয়ে চলে। এঁরা কিন্তু তা করেন না। বাঁ হাতের সঙ্গে বাঁ পা-ই এগিয়ে নিয়ে চলেন।

১৩ ১৫
পশুর হাঁটার সঙ্গে আরও অমিল রয়েছে এঁদের হাঁটার। পশু কব্জির উপর ভর দিয়ে হাঁটে না। বাহুর সঙ্গে আঙুলের সংযোগকারী অংশের উপর ভর দিয়ে হাঁটে। এঁরা কব্জির উপর ভর দিয়ে হাঁটেন। এ ভাবে দীর্ঘ দিন ধরে হাঁটার ফলে এঁদের তালু ভীষণ শক্ত হয়ে গিয়েছে।

পশুর হাঁটার সঙ্গে আরও অমিল রয়েছে এঁদের হাঁটার। পশু কব্জির উপর ভর দিয়ে হাঁটে না। বাহুর সঙ্গে আঙুলের সংযোগকারী অংশের উপর ভর দিয়ে হাঁটে। এঁরা কব্জির উপর ভর দিয়ে হাঁটেন। এ ভাবে দীর্ঘ দিন ধরে হাঁটার ফলে এঁদের তালু ভীষণ শক্ত হয়ে গিয়েছে।

১৪ ১৫
এঁদের আশপাশের লোকেরা এঁদের সঙ্গে যদিও পশুর মতোই ব্যবহার করেন। কখনও ঢিল ছুড়তে থাকে এঁদের দিকে, তো কখনও নানা ভাবে বিরক্ত করেন। তাই বাড়ি থেকে এঁরা খুব একটা বাইরে বেরোন না।

এঁদের আশপাশের লোকেরা এঁদের সঙ্গে যদিও পশুর মতোই ব্যবহার করেন। কখনও ঢিল ছুড়তে থাকে এঁদের দিকে, তো কখনও নানা ভাবে বিরক্ত করেন। তাই বাড়ি থেকে এঁরা খুব একটা বাইরে বেরোন না।

১৫ ১৫
অনেক চিকিৎসা সত্ত্বেও এই রোগের কোনও উপশম বার করা যায়নি আজও। তাঁদের অবর্তমানে ছেলেমেয়েদের কী হবে? কে দেখবেন? সারাক্ষণ এই চিন্তাই করে চলেছেন চারপেয়ে ওই মানুষগুলোর বাবা-মা।

অনেক চিকিৎসা সত্ত্বেও এই রোগের কোনও উপশম বার করা যায়নি আজও। তাঁদের অবর্তমানে ছেলেমেয়েদের কী হবে? কে দেখবেন? সারাক্ষণ এই চিন্তাই করে চলেছেন চারপেয়ে ওই মানুষগুলোর বাবা-মা।

(সবচেয়ে আগে সব খবর, ঠিক খবর, প্রতি মুহূর্তে। ফলো করুন আমাদের Google News, X (Twitter), Facebook, Youtube, Threads এবং Instagram পেজ)
Follow us on: Save:
Advertisement

Share this article

CLOSE

Log In / Create Account

We will send you a One Time Password on this mobile number or email id

Or

By proceeding you agree with our Terms of service & Privacy Policy