Advertisement
E-Paper

রেটিনা দেখেই বলা যাবে ৫ বছরের মধ্যে হার্ট অ্যাটাক হবে কি না?

শুধু চোখ দেখে, চোখের রেটিনার চেহারা, আচার-আচরণ দেখেই এ বার অনেক আগেভাগে হার্ট অ্যাটাকের পূর্বাভাস করা সম্ভব হবে।

সুজয় চক্রবর্তী

শেষ আপডেট: ০৯ এপ্রিল ২০১৮ ০৯:১৫
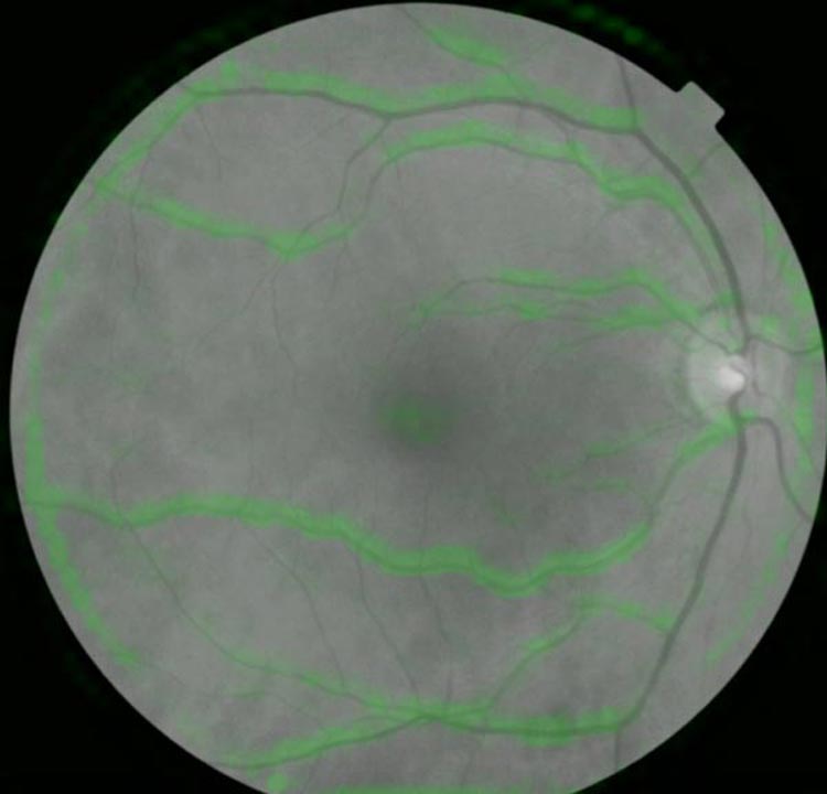
রেটিনা।

রেটিনা।

ভূমিকম্পেরও পূর্বাভাস দেওয়া সম্ভব হয় কখনও সখনও। কিন্তু হার্ট অ্যাটাক কত দিনের মধ্যে হতে পারে, তা আঁচ করাটা আমাদের আয়ত্তের বাইরেই আছে, আপাতত।

কিন্তু এ বার হার্ট অ্যাটাকেরও পূর্বাভাস দেওয়া সম্ভব হবে। ৫ বছর আগেই!

বলা যাবে, হার্ট অ্যাটাক হবে কি না, হার্টের ভাল্‌ভে কোনও ফুটো আছে কি না বা আগামী দিনে তেমন কিছু হওয়ার সম্ভাবনা কতটা! তা কতটা ‘ম্যাসিভ’ হতে পারে, সেটাও আঁচ করা যাবে অনেক আগেই!

আর তার জন্য কোনও এক্স-রে করতে হবে না। ডপলার সাউন্ড এফেক্টের মাধ্যমেও তা বোঝার চেষ্টা করতে হবে না। শুধু চোখ দেখে, রেটিনার চেহারা, চরিত্র, আচার-আচরণ দেখেই এ বার অনেক আগেভাগে হার্ট অ্যাটাকেরও পূর্বাভাস দেওয়া সম্ভব হবে।

এই অভিনব পদ্ধতি আবিষ্কার করেছে গুগলের ৮ সদস্যের একটি গবেষক দল। ক্যালিফোর্নিয়ার মাউন্টেন ভিউয়ে গুগলের সদর দফতরের সেই গবেষক দলে রয়েছেন এক ভারতীয় বিজ্ঞানী অবিনাশ ভি বরদারাজনও। মূল গবেষকদের অন্যতম আর্টিফিশিয়াল ইন্টেলিজেন্স বিশেষজ্ঞ লি পেঙ।

গবেষণাপত্রটি প্রকাশিত হয়েছে আন্তর্জাতিক বিজ্ঞান-জার্নাল ‘নেচার-বায়োমেডিক্যাল ইঞ্জিনিয়ারিং’-এ। গবেষণাপত্রটির শিরোনাম- ‘প্রেডিকশান অফ কার্ডিওভাসকুলার রিস্ক ফ্যাক্টর্স ফ্রম রেটিনাল ফান্ডাস ফোটোগ্রাফস ভায়া ডিপ লার্নিং’।

চোখে্র ‘আলো’য় খুঁজি ‘হৃদয়ের ব্যথা’...

ওই পূর্বাভাস দেওয়া সম্ভব হবে গুগলের গবেষকদলের বানানো একটি আর্টিফিসিয়াল ইন্টেলিজেন্স সফ্‌টওয়্যারের মাধ্যমে।

রেটিনা দেখে শরীরে কোনও রোগ হয়েছে কি না, তা বোঝার পদ্ধতি বহু দিন ধরেই চালু চিকিৎসক মহলে। ডায়াবেটিস, উচ্চ রক্তচাপ ও কোলেস্টেরলের উচ্চ মাত্রা বোঝার প্রাথমিক উপায় হিসাবে চিকিৎসকরা বহু দিন ধরেই রেটিনা পরীক্ষা করে আসছেন। এমনকী, কয়েক ধরনের ক্যানসারের ক্ষেত্রেও প্রাথমিক ভাবে রেটিনা পরীক্ষার চল রয়েছে।

রেটিনা এমন দেখতে হলে ৫ বছরের মধ্যে হার্ট অ্যাটাকের সম্ভাবনা যথেষ্টই

তা হলে এই গবেষণার অভিনবত্ব কোথায়?

আনন্দবাজারের পাঠানো প্রশ্নের জবাবে ক্যালিফোর্নিয়ার মাউন্টেন ভিউয়ে গুগলের সদর দফতর থেকে ই-মেলে গবেষক দলের একমাত্র ভারতীয় সদস্য অবিনাশ ভি বরদারাজন লিখেছেন, ‘‘রেটিনা পরীক্ষা করা হয় যে রোগগুলি শরীরে বাসা বেঁধে ফেলেছে, প্রাথমিক ভাবে সে ব্যাপারে নিশ্চিত হতে বা সেই সব রোগ কতটা গ্রাস করেছে রোগীকে, তা বুঝতে। আমাদের বানানো সফ্‌টওয়্যারের মাধ্যমেই প্রথম রেটিনা দেখে হার্ট অ্যাটাকের মতো রোগের পূর্বাভাস দেওয়া যাবে।’’

কী ভাবে ওই সফ্‌টওয়্যারটি বানানো হয়েছে?

মূল গবেষকদের অন্যতম লি পেঙ ইমেল জবাবে জানিয়েছেন, তাঁরা ২ লক্ষ ৮৪ হাজার ৩৩৫ জন রোগীর স্বাস্থ্য সম্পর্কিত বিভিন্ন তথ্যের ভিত্তিতে একটি নির্দিষ্ট গাণিতিক ফর্মূলা বা ‘অ্যালগরিদম’ বানিয়েছেন। তাঁদের রেটিনার ছবি বিশ্লেষণ করেছেন। সেই সব তথ্য দিয়েই ওই আর্টিফিসিয়াল ইন্টেলিজেন্স সফ্‌টওয়্যারটি বানানো হয়েছে।

‘নেচার- বায়োমেডিক্যাল ইঞ্জিনিয়ারিং’ জার্নালে প্রকাশিত সেই গবেষণাপত্র

রেটিনার কোথায় নজর রাখা হবে হার্ট অ্যাটাকের পূর্বাভাসের জন্য?

বরদারাজন বলছেন, ‘‘ডায়াবেটিস, উচ্চ রক্তচাপের মতো এ ক্ষেত্রেও রেটিনার রক্তনালীগুলির চেহারা, চরিত্র, আচার-আচরণ দেখে হার্ট অ্যাটাকের পূর্বাভাস দেওয়া সম্ভব হবে।’’

আরও পড়ুন- বাঙালির হাত ধরে সার্ভাইক্যাল ক্যানসারে জোরালো ওষুধ?​

আরও দেখুন- চোখ নিয়ে যে অদ্ভুত তথ্যগুলি জানতেই হবে​

কী ভাবে নিশ্চিত হলেন গবেষকরা?

বরদারাজনের বক্তব্য, তাঁরা ২ লক্ষেরও বেশি রোগীর স্বাস্থ্য সম্পর্কিত তথ্যাদি নিয়ে যে ‘অ্যালগরিদম’ বানিয়েছেন, তা প্রয়োগ করে দেখেছেন যে ১২ হাজার ২৬ জন সম্পর্কে পূর্বাভাস দেওয়া হয়েছিল, ৫ বছরের মধ্যে তাঁদের ৯০০ জনের বড় রকমের হার্ট অ্যাটাক হয়েছে। তবে সে ক্ষেত্রে তাঁরা একটি চোখের রেটিনা পরীক্ষা করে দেখেছিলেন। আর দু’টি চোখের রেটিনা পরীক্ষা করে পূর্বাভাস দেওয়া হয়েছিল যাঁদের সম্পর্কে, তাঁদের ৭০ শতাংশই ৫ বছরের মধ্যে বড় রকমের হার্ট অ্যাটাকের শিকার হয়েছেন। তাঁদের পূর্বাভাস বেশি মিলেছে রেটিনা পরীক্ষার পর গড়ে ৩.২৬ বছরের মধ্যে। যাঁরা ধূমপান করেন, তাঁদের ক্ষেত্রে পূর্বাভাস মিলেছে ৭১ শতাংশ।

হার্ট অ্যাটাক আগেভাগে বোঝার অন্য কোনও পদ্ধতি আছে কি?

বরদারাজন ও পেঙ দু’জনেই বলেছেন, ‘‘ইউরোপে ‘স্কোর (SCORE) রিস্ক ক্যালকুলেটর’ নামে একটি পদ্ধতি চালু হয়েছে খুব সম্প্রতি। তাতে রক্ত পরীক্ষা করতে হয়। তার সাফল্যের হারও ততটা উল্লেখয়োগ্য নয়।’’

তবে রেটিনা পরীক্ষা করে হার্ট অ্যাটাকের পূর্বাভাসের আর কোনও পদ্ধতি চালু হয়নি বলে জানিয়েছেন বরদারাজন।

কী বলছেন কলকাতার চক্ষু বিশেষজ্ঞরা?

বিশিষ্ট চক্ষু বিশেষজ্ঞ হিমাদ্রি দত্তের কথায়, ‘‘রক্ত শরীরে কী ভাবে বইছে, তার জন্য শিরা ও ধমনীর কী কী পরিবর্তন হচ্ছে, তার উপর নজর রেখেই বিভিন্ন রোগ শরীরে বাসা বেঁধেছে কি না, করলে তা কতটা আগ্রাসী ভূমিকা নিয়েছে বা নিতে পারে তা আন্দাজ করা যায়। কারণ, সে ক্ষেত্রে রক্তনালীগুলি স্বাভাবিকের চেয়ে বেশি সরু বা শক্ত হয়ে যায়। আর সেটা চোখের রেটিনাতেই সবচেয়ে ভাল ভাবে ও সবচেয়ে সহজে বোঝা যায়। তাই এই পদ্ধতি আগামী দিনে হার্ট অ্যাটাকের পূর্বাভাসে যথেষ্টই সাহায্য করবে।’’

তবে হিমাদ্রি এও মনে করেন, আগামী দিনে গবেষকদের বানানো ওই ‘অ্যালগরিদম’-এর পরিবর্ধন, পরিমার্জন প্রয়োজন হতে পারে। জিন কাঠামো ও খাদ্যাভ্যাসের ভিন্নতা ও তাদের পরিবর্তন, জলবায়ু পরিবর্তন, দূষণের জন্য। যাদের জন্য আমাদের রক্তনালীগুলিও চেহারা, চরিত্রে বদলে যেতে পারে।

বিশিষ্ট চক্ষু বিশেষজ্ঞ অসিত রঞ্জন বন্দ্যোপাধ্যায়ের বক্তব্য, ডায়াবেটিস হলে বা রক্তচাপ বাড়লে দেহের অন্যান্য অংশের মতো রেটিনার রক্তনালীগুলিও ফুলে যায় বা ‘হেমারেজ’ হয় (রক্তনালীগুলি ছিঁড়ে যায়)। অনেক সময় রেটিনার মাঝামাঝি এলাকায় সাদা দাগও দেখা যায়। এটাকে বলে ‘এক্সুডেট’। কখনও বা হয় ‘মাইক্রো-অ্যানিউরিজম’। সে ক্ষেত্রে রক্তনালীগুলি ফুলে উঠে গোল গোল হয়ে যায়। কোলেস্টেরলের মাত্রা শরীরে বেড়েছে কি না, তা এই ভাবে রেটিনার রক্তনালীগুলি দেখে বোঝা যায়। তবে ওই রোগগুলির পূর্বাভাস ৫ বছর আগে দেওয়া সম্ভব হয় না রেটিনা দেখে। কিন্তু এই পদ্ধতি পূর্বাভাস দিতে পারবে হার্ট অ্যাটাকের, ৫ বছর আগে। এটাই এই পদ্ধতির অভিনবত্ব। তবে আরও পরীক্ষানিরীক্ষার প্রয়োজন রয়েছে। দেখার আছে, বয়স বাড়ার সঙ্গে সঙ্গে এই ‘অ্যালগরিদম’ কতটা মানানসই হয়।

Eye Cardiovascular Diseases Google Nature Biomedical Engineering গুগল
Advertisement

আরও পড়ুন:

Share this article

CLOSE

Log In / Create Account

We will send you a One Time Password on this mobile number or email id

Or

By proceeding you agree with our Terms of service & Privacy Policy