Advertisement
E-Paper

দাঁতে ক্রাউন বসাতে গিয়ে বিপত্তি! হাত ফসকে বিঁধল একরত্তির গলায়

দাঁতের যন্ত্রণার উপশম করতে স্টিলের ক্রাউন বসাতে বলেছিলেন চিকিৎসক। একরত্তি ছেলের দাঁতে সেটা বসাতে গিয়েই ঘটল বিপত্তি! চিকিৎসকের হাত ফসকে ক্রাউন মুখে পড়ে যায়। তিন বছরের খুদে তা গিলেও ফেলে। শ্বাসনালীতে আটকে যায় ক্রাউনটি।

তানিয়া বন্দ্যোপাধ্যায়

শেষ আপডেট: ০৮ জুন ২০১৮ ০২:২০
অভিষেক মজুমদার। নিজস্ব চিত্র

অভিষেক মজুমদার। নিজস্ব চিত্র

দাঁতের যন্ত্রণার উপশম করতে স্টিলের ক্রাউন বসাতে বলেছিলেন চিকিৎসক। একরত্তি ছেলের দাঁতে সেটা বসাতে গিয়েই ঘটল বিপত্তি! চিকিৎসকের হাত ফসকে ক্রাউন মুখে পড়ে যায়। তিন বছরের খুদে তা গিলেও ফেলে। শ্বাসনালীতে আটকে যায় ক্রাউনটি। এর পরে দিনভর তিনটি হাসপাতাল ঘুরে শেষে অস্ত্রোপচারে সুস্থ হয় বেলঘরিয়ার অভিষেক মজুমদার।

পরিবার সূত্রে জানা গিয়েছে, কয়েক সপ্তাহ ধরেই দাঁতের যন্ত্রণায় ভুগছিল তিন বছরের অভিষেক। পানিহাটির একটি বেসরকারি ডেন্টাল হাসপাতালে তার চিকিৎসাও চলছিল। অভিষেকের বাঁ দিকের উপরের দাঁতে গর্ত তৈরি হয়েছিল। বারবার সেটা ওষুধ দিয়ে পরিষ্কার করতে হচ্ছিল। সামান্য কিছু খেলেও দাঁতে যন্ত্রণা শুরু হচ্ছিল। চিকিৎসক পরামর্শ দিয়েছিলেন, দাঁতের গর্তটি সিল করতে হবে। সিল করা হলেও দিন কয়েকের মধ্যেই সেটা খুলে যায়। ফলে ফের সমস্যা শুরু হয়। চিকিৎসক পরিবারকে জানান, দাঁতে স্টিলের ‘ক্রাউন’ লাগিয়ে দিলে সমস্যা মিটবে।

চিকিৎসকের পরামর্শ মতোই বুধবার সকালে পানিহাটির ওই বেসরকারি হাসপাতালে অভিষককে দাঁতে ক্রাউন পড়ানোর জন্য নিয়ে যাওয়া হয়। বেলা সাড়ে দশটা নাগাদ ওই বেসরকারি হাসপাতালে দাঁতে স্টিলের ক্রাউন পড়ানোর সময়েই ঘটে বিপত্তি! পরিবার জানায়, চিকিৎসকের হাত থেকে ক্রাউন মুখের ভিতরে পড়ে গেলে সেটাই গিলে ফেলে অভিষেক। এর পরেই শ্বাসকষ্ট শুরু হয়। দ্রুত তাকে পাঠিয়ে দেওয়া হয় সাগর দত্ত মেডিক্যাল কলেজ হাসপাতালে।

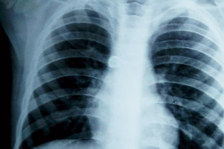
এক্স-রে প্লেটে স্পষ্ট, তখনও আটকে রয়েছে স্টিলের ক্রাউন (চিহ্নিত)। নিজস্ব চিত্র

সাগর দত্ত হাসপাতাল সূত্রে জানা গিয়েছে, এক্স-রে এবং প্রয়োজনীয় অন্য পরীক্ষা করে চিকিৎসকেরা দেখেন, শ্বাসনালীতে ওই স্টিলের ক্রাউনই আটকে রয়েছে। অস্ত্রোপচার করে সেটা বের করতে হবে বলেও তাঁরা পরিবারকে জানিয়েছিলেন। তবে সেই পরিকাঠামো সাগর দত্ত মেডিক্যাল কলেজ হাসপাতালে নেই। তাই তিন বছরের শিশুকে নিয়ে দ্রুত এসএসকেএম হাসপাতালে নিয়ে যাওয়ার পরামর্শ দেওয়া হয়।

বুধবার বিকেল সাড়ে পাঁচটা নাগাদ অভিষেককে তার পরিবার এসএসকেএম হাসপাতালে নিয়ে যায়। জরুরি বিভাগ থেকে তাকে পাঠানো হয় ইএনটি বিভাগে। চিকিৎসকেরা অভিষেকের রিপোর্ট দেখে দ্রুত অস্ত্রোপচারের সিদ্ধান্ত
নেন। চিকিৎসক অরিন্দম দাসের তত্ত্বাবধানে ঘণ্টা দেড়েকের অস্ত্রোপচার সন্ধ্যা সাড়ে সাতটা নাগাদ শেষ হয়। গলায় সরু নলের মতো যন্ত্র ঢুকিয়ে শ্বাসনালী থেকে স্টিলের ওই টুকরো বের করা হয়।

বৃহস্পতিবার ইএনটি বিভাগের প্রধান অরুণাভ সেনগুপ্ত বলেন, ‘‘ব্রঙ্কোস্কোপি করে স্টিলের অংশ বের করা হয়েছে। আপাতত অভিষেক সম্পূর্ণ সুস্থ। তাকে পর্যবেক্ষণে রাখা হয়েছে। স্বাভাবিক ভাবেই খেতে পারছে শিশুটি।’’ অভিষেকের দাদু শম্ভুনাথ মজুমদার এ দিন বলেন, ‘‘এক হাসপাতাল থেকে অন্য হাসপাতাল ঘুরতে হলেও অবশেষে নাতি সুস্থ হয়ে উঠেছে। ওকে আবার হাসতে দেখে ভাল লাগছে।’’

যে বেসরকারি হাসপাতালে এই বিপত্তি ঘটে তাদের ফোনে যোগাযোগ করলে নাম প্রকাশ্যে অনিচ্ছুক এক কর্তা বলেন, ‘‘দুর্ঘটনার পরে হাসপাতাল দায় এড়ায়নি। হাসপাতালের তরফেই সাগর দত্ত মেডিক্যাল কলেজ ও পরে পিজি-তে নিয়ে যাওয়ার ব্যবস্থা করা হয়। এমন দুর্ঘটনা আর যাতে না ঘটে, সে জন্য বাড়তি সতর্কতা নেওয়া হবে।’’

Stainless steel Crown Teeth Throat
Advertisement

আরও পড়ুন:

Share this article

CLOSE

Log In / Create Account

We will send you a One Time Password on this mobile number or email id

Or

By proceeding you agree with our Terms of service & Privacy Policy