Advertisement
E-Paper

Dental Braces: নতুন ধরনের ব্রেসেস কতটা কাজের, দাঁতে কি ব্যথা হবে? উত্তর চিকিৎসকের

কী ধরনের নতুন ব্রেসেস এসেছে? কতটা কাজের সেগুলি? উত্তর দিচ্ছেন এসএসকেএম হাসপাতালের অধ্যাপক এবং দন্তচিকিৎসক বিশ্বরূপ সেনগুপ্ত।

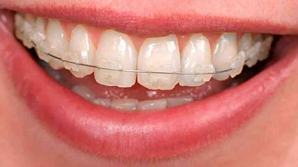
ইনভিস্যালাইন ব্রেসেস: নতুন ধরনের ব্রেসেস, চট করে দেখে টের পাওয়া যায় না এর উপস্থিতি।

ইনভিস্যালাইন ব্রেসেস: নতুন ধরনের ব্রেসেস, চট করে দেখে টের পাওয়া যায় না এর উপস্থিতি। ছবি: সংগৃহীত

নিজস্ব সংবাদদাতা

শেষ আপডেট: ০৪ অগস্ট ২০২১ ১৪:৪৮
Share
Save

অনেকের দাঁত ঠিক ভাবে সাজানো থাকে না। দাঁতের গড়ন সোজা করতে বা সাজানো ঠিক করতে ব্রেসেস বা দাঁতের ক্লিপের ব্যবহার আজকের নয়। ইতিহাস ঘাঁটলে দেখা যাবে, এর ব্যবহার চলে আসছে কয়েক হাজার বছর ধরে।

যদিও বর্তমানে যে ধরনের ব্রেসেস ব্যবহার হয়, তার শুরু বিংশ শতকের গোড়ায়। হালে এই ব্রেসেসের ধরন বদলে গিয়েছে অনেকটাই। কী ধরনের নতুন ব্রেসেস এসেছে? কতটা কাজের সেগুলি? উত্তর দিচ্ছেন এসএসকেএম হাসপাতালের অধ্যাপক এবং দন্তচিকিৎসক বিশ্বরূপ সেনগুপ্ত

প্রশ্ন: নতুন কী ধরনের ব্রেসেস এসেছে এখন?

উত্তর: আগের ধাতব ব্রেসেস এখনও চলছে। এর পাশাপাশি বাজারে এসেছে সেরামিক ব্রেসেস এবং ইনভিস্যালাইন ব্রেসেস। ধাতব ব্রেসেস পরতে যাঁদের অস্বস্তি হয়, তাঁরা অনেকে এই নতুন ধরনের ব্রেসেস ব্যবহার করেন। কারণ এগুলির উপস্থিতি অত সুস্পষ্ট ভাবে বোঝা যায় না।

প্রশ্ন: নতুন ধরনের এই ব্রেসেসগুলি কতটা কাজের?

উত্তর: আসলে সেরামিকের বলা হলেও, এর ভিতরে ধাতুর পাতই থাকে। তা না হলে ব্রেসেস কাজ করবে না। আর ইনভিস্যালাইন ব্রেসেসে তা থাকে না। কাজ কমবেশি সবগুলিতেই একই রকম।

প্রশ্ন: নতুন এই ব্রেসেসগুলির কি কোনও সমস্যা আছে?

উত্তর: সেরামিকের ব্রেসেস খুব সাবধানে ব্যবহার করতে হয়। ভারতীয়রা সাধারণত রান্নায় প্রচুর হলুদ ব্যবহার করেন। তাতে এই ধরনের ব্রেসেসে ছোপ পড়ে যায়। ফলে শুধুমাত্র যাঁরা খুব সচেতন হয়ে ব্যবহার করতে পারবেন, তাঁদেরই এই ধরনের ব্রেসেস ব্যবহার করার পরামর্শ আমরা দিয়ে থাকি। আর ইনভিস্যালাইন ব্রেসেস প্রচণ্ড দামি।

সেরামিকের ব্রেসেস

সেরামিকের ব্রেসেস

প্রশ্ন: ব্রেসেস ব্যবহার করে দাঁতের গড়ন ঠিক করতে কত দিন লাগতে পারে?

উত্তর: নির্ভর করছে দাঁতের অবস্থার উপর। তবে ধরে নেওয়া যায়, দেড় থেকে দু’বছর লেগে যেতে পারে। যত বেশি সময় নিয়ে দাঁতের সেটিং ঠিক হবে, তত ভাল। আরও একটি বিষয় আছে। ব্রেসেসের সঙ্গে দাঁতের ঘর্ষণ যত কম হবে, তত তাড়াতাড়ি দাঁতের সাজানো ঠিক হবে। পুরনো ধাতব ব্রেসেসে এই ঘর্ষণ সবচেয়ে কম হয়।

প্রশ্ন: তা হলে কি পুরনো ধাতব ব্রেসেসই সবেচয়ে বেশি কাজের?

উত্তর: পরিসংখ্যান বলছে, ধাতব ব্রেসেসেই সবচেয়ে ভাল ভাবে দাঁতের সাজানো ঠিক হয়। সেই কারণেই বেশির ভাগ ক্ষেত্রে চিকিৎসকরা পুরনো ধাতব ব্রেসেসেই বেশি ভরসা রাখেন। শিশুদের ক্ষেত্রেও এটাই বেশি কাজের।

প্রশ্ন: ব্রেসেস বা দাঁতের ক্লিপ আগে শুধু ছোটরাই ব্যবহার করত। এখন কি এই ধারণা বদলেছে?

উত্তর: অবশ্যই বদলেছে। আগে মনে করা হত, ১৪ বছর বয়সের পরে দাঁতের সাজানো ঠিক করা সম্ভব নয়। কিন্তু এখন ৩৭-৩৮ বছরের মানুষের দাঁতও ঠিক করা যাচ্ছে ব্রেসেস পরিয়ে। এমন ঘটনাও ঘটেছে, সন্তানের দাঁত ঠিক করতে নিয়ে এসেছেন মা। দু’জনেই ফিরেছেন দাঁতে ব্রেসেস পরে।

ধাতব ব্রেসেসই কি এখনও সবচেয়ে কাজের?

ধাতব ব্রেসেসই কি এখনও সবচেয়ে কাজের?

প্রশ্ন: ব্রেসেস নিয়ে সচেতনতা কেমন?

উত্তর: খুবই কম। অনেক শিশুরই দুধের দাঁত থাকা অবস্থায় সমস্যা শুরু হয়। দাঁত বেঁকতে থাকে। বাবা-মায়েরা ভাবেন, দুঁধের দাঁত পড়ে গেলে এই সমস্যা আর থাকবে না। বিষয়টি তেমন নয়। দরকারে দুধের দাঁতের চিকিৎসা করাতে হবে। দরকার হলে শিশুকে খুব ছোট বয়সেই ব্রেসেস পরাতে হবে। সেই সচেতনতা এখনও অনেকের মধ্যেই নেই।

প্রশ্ন: দাঁতের সাজানো ঠিক না হলে কি শরীরের অন্য সমস্যা হতে পারে?

উত্তর: হালের বেশ কিছু গবেষণা বলছে, দাঁতের সাজানো ঠিক না থাকলে, সেটি যত তাড়াতাড়ি সম্ভব করে নেওয়া দরকার। কারণ বয়স বাড়লে এ থেকে চোয়ালের ব্যথা এবং নানা সমস্যা হতে পারে। কিন্তু সমস্যার সেখানেই শেষ নয়। ক্রমে ক্রমে চোয়ালের এই সমস্যা স্পন্ডেলাইটিসের জন্ম দিতে পারে। এমনকি ফেলে রাখলে এখান থেকে হাঁটুর ব্যথা হওয়াও অস্বাভাবিক নয়। ফলে দাঁতের সাজানো এলোমেলো হলে দ্রুত ব্রেসেস পরে তার সমাধান করা উচিত।

Teeth oral health

সবচেয়ে আগে সব খবর, ঠিক খবর, প্রতি মুহূর্তে। ফলো করুন আমাদের মাধ্যমগুলি:

Advertisement

আরও পড়ুন:

Share this article

CLOSE

Log In / Create Account

We will send you a One Time Password on this mobile number or email id

Or

By proceeding you agree with our Terms of service & Privacy Policy

এটি একটি প্রিন্ট আর্টিক্‌ল…

  • এমন অনেক খবরই এখন আপনার হাতের মুঠোয়

  • সঙ্গে রোজ পান আনন্দবাজার পত্রিকার নতুন ই-পেপার পড়ার সুযোগ

  • ই-পেপারের খবর এখন শুধুই ছবিতে নয়, টেক্সটেও

প্ল্যান সিলেক্ট করুন

মেয়াদ শেষে আপনার সাবস্ক্রিপশন আপনাআপনি রিনিউ হয়ে যাবে

মেয়াদ শেষে নতুন দামে আপনাকে নতুন করে গ্রাহক হতে হবে

Best Value
এক বছরে

৫১৪৮

১৯৯৯

এক বছর পূর্ণ হওয়ার পর আপনাকে আবার সাবস্ক্রিপশন কিনতে হবে। শর্তাবলী প্রযোজ্য।
*মান্থলি প্ল্যান সাপেক্ষে
এক মাসে

৪২৯

১৬৯

এক মাস পূর্ণ হওয়ার পর আপনাকে আবার সাবস্ক্রিপশন কিনতে হবে। শর্তাবলী প্রযোজ্য।