Advertisement
১৪ জানুয়ারি ২০২৬
China's Mysterious Pneumonia

শিশুদের মধ্যে ছড়াচ্ছে ‘হোয়াইট লাং সিন্ড্রোম’! কী ভাবে সুস্থ রাখবেন আপনার সন্তানকে?

সাধারণত দশ বছরের কম বয়সি শিশুরাই ভুগছে এই অজানা রোগ। ফুসফুসের এই রোগ যে মহামারির আকার ধারণ করতে পারে তা নিয়েও আশঙ্কা করছেন স্বাস্থ্য আধিকারিকেরা।

আনন্দবাজার অনলাইন ডেস্ক
শেষ আপডেট: ১৩ ডিসেম্বর ২০২৩ ১২:৪৯
Share: Save:
০১ ১৯
করোনা ভাইরাসের পর এ বার ভয়ানক আকারে ছড়িয়ে পড়ছে এক অজানা, রহস্যময় রোগ। অধিকাংশ ক্ষেত্রে এই সংক্রমণ দেখা দিচ্ছে শিশুদের। সমীক্ষা করে দেখা গিয়েছে, সাধারণত দশ বছরের কম বয়সি শিশুরাই ভুগছে এই অজানা রোগে। ফুসফুসের এই রোগ যে মহামারির আকার ধারণ করতে পারে, তা নিয়েও আশঙ্কা করছেন স্বাস্থ্য আধিকারিকেরা। কী কী লক্ষণ রয়েছে এই রোগের? কী ভাবেই বা এই রোগ ছড়ায়? শিশুদের কী ভাবে এই রোগের হাত থেকে রক্ষা করা যাবে?

করোনা ভাইরাসের পর এ বার ভয়ানক আকারে ছড়িয়ে পড়ছে এক অজানা, রহস্যময় রোগ। অধিকাংশ ক্ষেত্রে এই সংক্রমণ দেখা দিচ্ছে শিশুদের। সমীক্ষা করে দেখা গিয়েছে, সাধারণত দশ বছরের কম বয়সি শিশুরাই ভুগছে এই অজানা রোগে। ফুসফুসের এই রোগ যে মহামারির আকার ধারণ করতে পারে, তা নিয়েও আশঙ্কা করছেন স্বাস্থ্য আধিকারিকেরা। কী কী লক্ষণ রয়েছে এই রোগের? কী ভাবেই বা এই রোগ ছড়ায়? শিশুদের কী ভাবে এই রোগের হাত থেকে রক্ষা করা যাবে?

০২ ১৯
স্বাস্থ্য আধিকারিকদের অনুমান, চিন থেকেই নাকি এই বিশেষ রোগটি ছড়ানোর সম্ভাবনা রয়েছে। চিনের পর আমেরিকার ওহায়োয় ত্রাস ছড়াচ্ছে এই রহস্যজনক রোগ। নিউমোনিয়ার লক্ষণের সঙ্গে এই রোগের সাদৃশ্য রয়েছে বলে একে অনেকে ‘রহস্যজনক নিউমোনিয়া’ বলেও উল্লেখ করেছেন।

স্বাস্থ্য আধিকারিকদের অনুমান, চিন থেকেই নাকি এই বিশেষ রোগটি ছড়ানোর সম্ভাবনা রয়েছে। চিনের পর আমেরিকার ওহায়োয় ত্রাস ছড়াচ্ছে এই রহস্যজনক রোগ। নিউমোনিয়ার লক্ষণের সঙ্গে এই রোগের সাদৃশ্য রয়েছে বলে একে অনেকে ‘রহস্যজনক নিউমোনিয়া’ বলেও উল্লেখ করেছেন।

০৩ ১৯
সম্প্রতি ওহায়ো অঞ্চলের বহু শিশু আক্রান্ত হয়েছে ‘রহস্যজনক নিউমোনিয়া’য়। চিনের পর আমেরিকায় প্রথম এই সংক্রমণের খবর পাওয়া গিয়েছে বলে স্বাস্থ্য আধিকারিকদের দাবি।

সম্প্রতি ওহায়ো অঞ্চলের বহু শিশু আক্রান্ত হয়েছে ‘রহস্যজনক নিউমোনিয়া’য়। চিনের পর আমেরিকায় প্রথম এই সংক্রমণের খবর পাওয়া গিয়েছে বলে স্বাস্থ্য আধিকারিকদের দাবি।

০৪ ১৯
ওয়ারেন কাউন্টির স্বাস্থ্য আধিকারিকদের মতে চলতি বছরের অগস্ট মাস থেকেই অজানা রোগটি ছড়াতে শুরু করেছে। গত ৪ মাসে মোট ১৪২ জন শিশু এই রোগে আক্রান্ত হয়েছে বলে সমীক্ষায় জানা গিয়েছে।

ওয়ারেন কাউন্টির স্বাস্থ্য আধিকারিকদের মতে চলতি বছরের অগস্ট মাস থেকেই অজানা রোগটি ছড়াতে শুরু করেছে। গত ৪ মাসে মোট ১৪২ জন শিশু এই রোগে আক্রান্ত হয়েছে বলে সমীক্ষায় জানা গিয়েছে।

০৫ ১৯
স্থানীয় স্বাস্থ্য প্রশাসন সূত্রে খবর, ফুসফুসের এই রহস্যজনক রোগের নাম ‘হোয়াইট লাং সিনড্রোম’। চিনের পর আমেরিকায় রোগটির প্রাদুর্ভাব চিন্তায় ফেলেছে প্রশাসনকে। অনবরত বৃদ্ধি পেয়ে চলেছে আক্রান্তের সংখ্যা।

স্থানীয় স্বাস্থ্য প্রশাসন সূত্রে খবর, ফুসফুসের এই রহস্যজনক রোগের নাম ‘হোয়াইট লাং সিনড্রোম’। চিনের পর আমেরিকায় রোগটির প্রাদুর্ভাব চিন্তায় ফেলেছে প্রশাসনকে। অনবরত বৃদ্ধি পেয়ে চলেছে আক্রান্তের সংখ্যা।

০৬ ১৯
ওহায়ো ডিপার্টমেন্ট অফ হেলথ-এর তরফে ‘হোয়াইট লাং সিন্ড্রোম’ নামের রোগটিকে গুরুতর হিসেবে চিহ্নিত করা হয়েছে‌। প্রাথমিক ভাবে স্থানীয় প্রশাসনের মধ্যে আশঙ্কা তৈরি হয়েছে চিনের হাসপাতালের সাম্প্রতিক অবস্থা নিয়েও। ওহায়োয় যে ভাবে এই রোগ ছড়িয়ে পড়েছে, তা এই সংক্রমণের ফলাফল বলে মনে করছেন অনেকে।

ওহায়ো ডিপার্টমেন্ট অফ হেলথ-এর তরফে ‘হোয়াইট লাং সিন্ড্রোম’ নামের রোগটিকে গুরুতর হিসেবে চিহ্নিত করা হয়েছে‌। প্রাথমিক ভাবে স্থানীয় প্রশাসনের মধ্যে আশঙ্কা তৈরি হয়েছে চিনের হাসপাতালের সাম্প্রতিক অবস্থা নিয়েও। ওহায়োয় যে ভাবে এই রোগ ছড়িয়ে পড়েছে, তা এই সংক্রমণের ফলাফল বলে মনে করছেন অনেকে।

০৭ ১৯
ভারতের প্রতিবেশী দেশ চিনে ইতিমধ্যেই একাধিক বার ‘হোয়াইট লাং সিন্ড্রোম’-এর জন্য খবরের শিরোনামে এসেছে। এই রোগের গতিপ্রকৃতি নিয়ে চিন্তায় পড়েছিল বিশ্ব স্বাস্থ্য সংস্থা বা হু। এই নিয়ে চিনকে সতর্কও করেছিল হু। এমনকি রোগটি নিয়ে নিয়মমাফিক রিপোর্টও জমা করতে বলা হয়েছিল চিনকে।

ভারতের প্রতিবেশী দেশ চিনে ইতিমধ্যেই একাধিক বার ‘হোয়াইট লাং সিন্ড্রোম’-এর জন্য খবরের শিরোনামে এসেছে। এই রোগের গতিপ্রকৃতি নিয়ে চিন্তায় পড়েছিল বিশ্ব স্বাস্থ্য সংস্থা বা হু। এই নিয়ে চিনকে সতর্কও করেছিল হু। এমনকি রোগটি নিয়ে নিয়মমাফিক রিপোর্টও জমা করতে বলা হয়েছিল চিনকে।

০৮ ১৯
আমেরিকার ‘সেন্টার ফর ডিজ়িজ় কন্ট্রোল অ্যান্ড প্রিভেনশন’-এর তরফে জানানো হয়েছে ‘হোয়াইট লাং সিন্ড্রোম’ রোগের প্যাথোজেন কোনও নতুন ভাইরাস বা ব্যাকটেরিয়া নয়। চিন, ডেনমার্ক, আমেরিকা এবং নেদারল্যান্ডস-সহ একাধিক দেশে এখন নতুন ‘আতঙ্ক’ এই রোগ।

আমেরিকার ‘সেন্টার ফর ডিজ়িজ় কন্ট্রোল অ্যান্ড প্রিভেনশন’-এর তরফে জানানো হয়েছে ‘হোয়াইট লাং সিন্ড্রোম’ রোগের প্যাথোজেন কোনও নতুন ভাইরাস বা ব্যাকটেরিয়া নয়। চিন, ডেনমার্ক, আমেরিকা এবং নেদারল্যান্ডস-সহ একাধিক দেশে এখন নতুন ‘আতঙ্ক’ এই রোগ।

০৯ ১৯
‘হোয়াইট লাং সিনড্রোম’ রোগে সাধারণত ৩ থেকে ৮ বছর বয়সি শিশুরা সংক্রমিত হচ্ছে। আক্রান্ত শিশুদের ফুসফুস পরীক্ষা করে যে ছবি প্রকাশ্যে এসেছে, তা দেখেই রোগটির নাম রাখা হয়েছে।

‘হোয়াইট লাং সিনড্রোম’ রোগে সাধারণত ৩ থেকে ৮ বছর বয়সি শিশুরা সংক্রমিত হচ্ছে। আক্রান্ত শিশুদের ফুসফুস পরীক্ষা করে যে ছবি প্রকাশ্যে এসেছে, তা দেখেই রোগটির নাম রাখা হয়েছে।

১০ ১৯
বিশেষজ্ঞদের ধারণা, মাইকোপ্লাজমা নিউমোনিয়া নামে এক ব্যাকটেরিয়ার সংক্রমণ ‘হোয়াইট লাং সিন্ড্রোম’ রোগের মূল কারণ। তবে এই রোগের আশঙ্কার মূল কারণ যে অ্যান্টিবায়োটিক খাওয়ার পরেও এই রোগ নিরাময় করা যাচ্ছে না।

বিশেষজ্ঞদের ধারণা, মাইকোপ্লাজমা নিউমোনিয়া নামে এক ব্যাকটেরিয়ার সংক্রমণ ‘হোয়াইট লাং সিন্ড্রোম’ রোগের মূল কারণ। তবে এই রোগের আশঙ্কার মূল কারণ যে অ্যান্টিবায়োটিক খাওয়ার পরেও এই রোগ নিরাময় করা যাচ্ছে না।

১১ ১৯
ডেনমার্কে পরিস্থিতি সবচেয়ে বিপজ্জনক। ‘হোয়াইট লাং সিনড্রোম’ সেখানে যেন এক ‘মহামারি’র চেহারা নিয়েছে বলে দাবি স্বাস্থ্য বিশেষজ্ঞদের। স্থানীয় স্বাস্থ্য প্রশাসনের বক্তব্য, এই মুহূর্তে সংক্রমণের যা ছবি ফুটে উঠেছে তার সঙ্গে করোনা সংক্রমণের আদিপর্বের মিল রয়েছে অনেকটাই। নেদারল্যান্ডসেও এই সন্দেহজনক ‘নিউমোনিয়া’য় আক্রান্ত শিশুর সংখ্যা বৃদ্ধি পেয়ে চলেছে বলে খবর।

ডেনমার্কে পরিস্থিতি সবচেয়ে বিপজ্জনক। ‘হোয়াইট লাং সিনড্রোম’ সেখানে যেন এক ‘মহামারি’র চেহারা নিয়েছে বলে দাবি স্বাস্থ্য বিশেষজ্ঞদের। স্থানীয় স্বাস্থ্য প্রশাসনের বক্তব্য, এই মুহূর্তে সংক্রমণের যা ছবি ফুটে উঠেছে তার সঙ্গে করোনা সংক্রমণের আদিপর্বের মিল রয়েছে অনেকটাই। নেদারল্যান্ডসেও এই সন্দেহজনক ‘নিউমোনিয়া’য় আক্রান্ত শিশুর সংখ্যা বৃদ্ধি পেয়ে চলেছে বলে খবর।

১২ ১৯
প্রশাসনের দাবি, সুইডেন এবং ওহায়ো প্রদেশের একাধিক জায়গায় আক্রান্ত শিশুদের হাসপাতালে ভর্তি করানো হচ্ছে। মার্কিন ‘সেন্টার্স ফর ডিজ়িজ় কন্ট্রোল অ্যান্ড প্রিভেনশন’ জানাচ্ছে, তারা নিয়মিত চিনের সঙ্গে যোগাযোগ রাখছে। তবে তাদের বক্তব্য, এই রোগ ফুসফুসের। বুকের এক্স-রে করলেই তা বোঝা যাবে।

প্রশাসনের দাবি, সুইডেন এবং ওহায়ো প্রদেশের একাধিক জায়গায় আক্রান্ত শিশুদের হাসপাতালে ভর্তি করানো হচ্ছে। মার্কিন ‘সেন্টার্স ফর ডিজ়িজ় কন্ট্রোল অ্যান্ড প্রিভেনশন’ জানাচ্ছে, তারা নিয়মিত চিনের সঙ্গে যোগাযোগ রাখছে। তবে তাদের বক্তব্য, এই রোগ ফুসফুসের। বুকের এক্স-রে করলেই তা বোঝা যাবে।

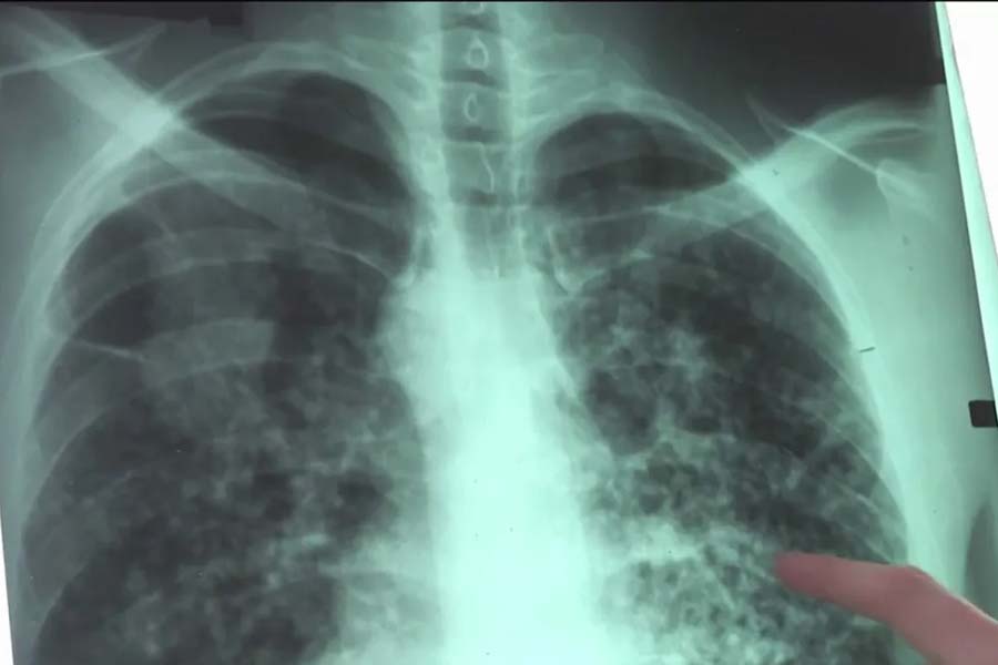
১৩ ১৯
আক্রান্ত শিশুদের বুকের এক্স-রে করলে ফুসফুসের উপর সাদা সাদা দাগ লক্ষ করা যাবে। সে কারণেই রোগটির নাম ‘হোয়াইট লাং সিনড্রোম’ দেওয়া হয়েছে।

আক্রান্ত শিশুদের বুকের এক্স-রে করলে ফুসফুসের উপর সাদা সাদা দাগ লক্ষ করা যাবে। সে কারণেই রোগটির নাম ‘হোয়াইট লাং সিনড্রোম’ দেওয়া হয়েছে।

১৪ ১৯
ফুসফুসের অ্যালভিওলা বা রন্ধ্রজনিত কোনও রোগের কারণে ‘হোয়াইট লাং সিনড্রোম’ হতে পারে। আবার সিলিকোসিস রোগে আক্রান্ত হলেও ফুসফুসে এই রোগে দানা বাঁধতে পারে।

ফুসফুসের অ্যালভিওলা বা রন্ধ্রজনিত কোনও রোগের কারণে ‘হোয়াইট লাং সিনড্রোম’ হতে পারে। আবার সিলিকোসিস রোগে আক্রান্ত হলেও ফুসফুসে এই রোগে দানা বাঁধতে পারে।

১৫ ১৯
শিশুদের মধ্যে গুরুতর ভাইরাস বা ব্যাকটেরিয়ার সংক্রমণ থেকে এই রোগ দেখা দিতে পারে। ‘হোয়াইট লাং সিনড্রোম’-এ ফুসফুসের অন্য রোগের মতোই লক্ষণ দেখা যায়।

শিশুদের মধ্যে গুরুতর ভাইরাস বা ব্যাকটেরিয়ার সংক্রমণ থেকে এই রোগ দেখা দিতে পারে। ‘হোয়াইট লাং সিনড্রোম’-এ ফুসফুসের অন্য রোগের মতোই লক্ষণ দেখা যায়।

১৬ ১৯
‘হোয়াইট লাং সিন্ড্রোম’-এর প্রাথমিক উপসর্গ হিসাবে শিশুদের জ্বর, সর্দি-কাশি হতে পারে । পরিস্থিতি গুরুতর হলে শ্বাসকষ্টও দেখা দেয়। অল্প কিছু ক্ষণের মধ্যেই এই রোগে আক্রান্ত শিশুরা ক্লান্ত হয়ে পড়ে। বুকে কফ জমে যাওয়া বা বুকে হালকা ব্যথাও হতে পারে।

‘হোয়াইট লাং সিন্ড্রোম’-এর প্রাথমিক উপসর্গ হিসাবে শিশুদের জ্বর, সর্দি-কাশি হতে পারে । পরিস্থিতি গুরুতর হলে শ্বাসকষ্টও দেখা দেয়। অল্প কিছু ক্ষণের মধ্যেই এই রোগে আক্রান্ত শিশুরা ক্লান্ত হয়ে পড়ে। বুকে কফ জমে যাওয়া বা বুকে হালকা ব্যথাও হতে পারে।

১৭ ১৯
‘হোয়াইট লাং সিন্ড্রোম’ রোগটি কী ভাবে প্রতিরোধ করা যায়, তার সমাধান এখনও পাওয়া যায়নি। তবে শিশুরা যেন এই রোগে আক্রান্ত না হয়, তার জন্য কিছু নিয়মকানুন মেনে চলতে হবে। ইনফ্লুয়েঞ্জা বা করোনা রোগে আক্রান্ত হলে তার টিকা নেওয়া আবশ্যক। জীবাণুনাশের জন্য নিয়মিত হাত ধোওয়ার সাবান বা ‘হ্যান্ড ওয়াশ’ দিয়ে হাত ধুতে হবে।

‘হোয়াইট লাং সিন্ড্রোম’ রোগটি কী ভাবে প্রতিরোধ করা যায়, তার সমাধান এখনও পাওয়া যায়নি। তবে শিশুরা যেন এই রোগে আক্রান্ত না হয়, তার জন্য কিছু নিয়মকানুন মেনে চলতে হবে। ইনফ্লুয়েঞ্জা বা করোনা রোগে আক্রান্ত হলে তার টিকা নেওয়া আবশ্যক। জীবাণুনাশের জন্য নিয়মিত হাত ধোওয়ার সাবান বা ‘হ্যান্ড ওয়াশ’ দিয়ে হাত ধুতে হবে।

১৮ ১৯
দেহের রোগ প্রতিরোধ ক্ষমতা বৃদ্ধি করতে পুষ্টিবিচার করে সঠিক নিয়মে খাওয়াদাওয়া করতে হবে। খাওয়াদাওয়ার পাশাপাশি খেয়াল রাখতে হবে শরীরচর্চার দিকেও।

দেহের রোগ প্রতিরোধ ক্ষমতা বৃদ্ধি করতে পুষ্টিবিচার করে সঠিক নিয়মে খাওয়াদাওয়া করতে হবে। খাওয়াদাওয়ার পাশাপাশি খেয়াল রাখতে হবে শরীরচর্চার দিকেও।

১৯ ১৯
ছবি: পিক্স অ্যাবে, আনফ্ল্যাশ থেকে নেওয়া।

অসুস্থ ব্যক্তিদের থেকে শিশুদের দূরত্ব বজায় রাখা বাধ্যতামূলক। ধুলোবালি এবং জীবাণুর হাত থেকে রক্ষা পেতে মুখে মাস্ক পরে থাকা জরুরি। এই নিয়মগুলি মেনে চললেই ‘হোয়াইট লাং সিন্ড্রোম’-এর আক্রমণের হাত থেকে কিছুটা হলেও বাঁচতে পারে আপনার শিশু।

(সবচেয়ে আগে সব খবর, ঠিক খবর, প্রতি মুহূর্তে। ফলো করুন আমাদের Google News, X (Twitter), Facebook, Youtube, Threads এবং Instagram পেজ)
Follow us on: Save:
Advertisement

Share this article

CLOSE

Log In / Create Account

We will send you a One Time Password on this mobile number or email id

Or

By proceeding you agree with our Terms of service & Privacy Policy